Contact Us

Board Certified in Periodontics and Dental Implants.

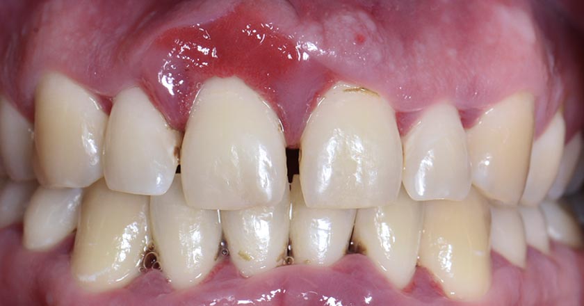
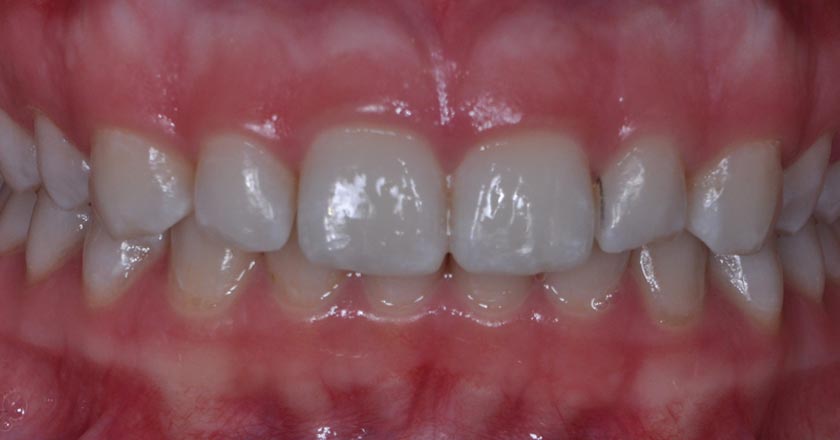
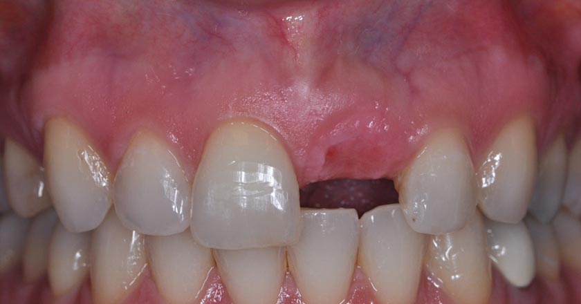
Results of our

Treatment and Care

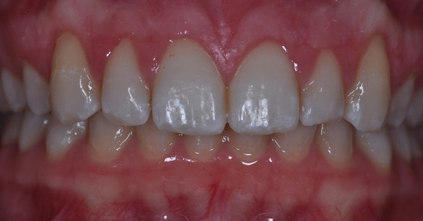
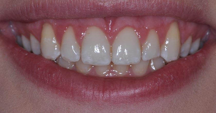
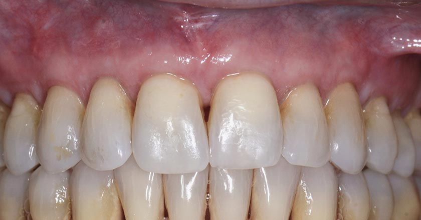
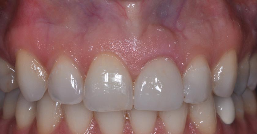
Kindly utilize the slider to observe the results of the before and after care. To view the Before, slide it all the way to the right, and to view the After, move it all the way to the left.

Gum Graft Lower - Before And After

Gum Graft Upper - Before And After

Implant - Before And After

Gum Disease - Before And After

Gummy Smile - Before And After

Gummy Smile - Before And After

Implant Bone Grafting - Before And After

Tooth Bone Grafting - Before And After